В Межрайонной больнице № 1 смонтировали новый комплекс для рентгенологических исследований Opera Swing. Такое оборудование единственное в Карелии. Его приобретение стало возможно благодаря поддержке компании «Северсталь» и благотворительного фонда «Доброта Севера».
Заведующая отделением врач-рентгенолог Юлия Лушина поделилась, как выбирали аппарат.
– Прежде всего я делала ставку на высокое качество получаемого изображения, надёжность оборудования и возможность постгарантийного обслуживания. Я изучила предложения российского и зарубежного рынков, посоветовалась с коллегами из других регионов. На рассмотрении было несколько аппаратов российского, корейского и итальянского производства. В результате тщательного сравнительного анализа был выбран итальянский Opera Swing. Важно, что торговый представитель предоставил на аппарат удлинённую гарантию – два года – и круглосуточную онлайн-поддержку. Если технические специалисты не смогут устранить неполадку дистанционно, в кратчайшее время инженер приедет на место. Это исключает длительный простой оборудования, – отметила Юлия Владимировна.
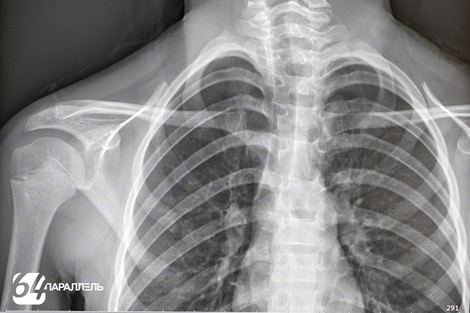
У нового аппарата множество преимуществ. Так, теперь получают качественные цифровые снимки с обширной постпроцессинговой обработкой: их можно увеличивать, уменьшать, менять яркость и контрастность, детально рассматривать зону интереса, что невозможно было сделать на аналоговых снимках. Также аппарат позволяет выполнять полипозиционные исследования, при этом не нужно менять положение пациента. Таким образом можно из разных точек заглянуть «внутрь» человека, не двигая его. Это особенно важно для маломобильных и тяжёлых пациентов. На трубке аппарата установлена видеокамера, которая передает изображение на консоль оператора, и пациент всё время находится на виду.
– Надо понимать, что, несмотря на все преимущества Opera Swing – это всё-таки рентген-аппарат с соответствующими возможностями и пределами метода. Он не заменит ни МСКТ, ни МРТ, так как даёт плоскостное изображение трехмёрного объекта, но не более. Огромное спасибо компании «Северсталь» и фонду «Доброта Севера» за такой подарок нашей больнице, – продолжает Юлия Лушина.
Рентгенолаборанты уже обучились работать на новом аппарате и поделились своими впечатлениями:
– Новый аппарат просто космос! Получаемые снимки выводятся сразу на монитор. Качество изображения потрясающее. Теперь мы меньше будем работать в фотохимической лаборатории в темноте, что сохранит нам здоровье и зрение, – говорит Екатерина Серикова.
Новый Opera Swing приступил к работе 15 января. В 2025 году благодаря поддержке компании «Северсталь» и благотворительного фонда «Доброта Севера»в Межрайонную больницу № 1 поступило и другое высокотехнологичное оборудование: уретроскоп, артроскоп, наркозный аппарат, новая стоматологическая установка. Позже «64 параллель» напишет о них подробнее.












